La Dottoressa Valentina Colabianchi è un'Odontoiatra specializzata in Ortognatodonzia, con una profonda esperienza maturata in anni di formazione e pratica clinica.
Laureata a Bologna con il massimo dei voti e specializzata con lode presso l'Università di Ferrara, ha perfezionato le sue competenze in importanti centri universitari, diventando esperta nel trattamento di casi complessi e nell'applicazione di tecniche all'avanguardia come gli allineatori trasparenti (Invisalign) e l'ortodonzia pre-chirurgica.
La sua formazione si estende anche alla Dental Sleep Medicine, disciplina in cui è relatrice in congressi scientifici e ha svolto importanti ricerche. Il suo obiettivo professionale è offrire ai pazienti, sia adulti che bambini, un percorso personalizzato per un sorriso sano e armonioso. La sua professionalità, unita a un approccio accogliente e all'uso di tecnologie d'avanguardia, garantisce il miglior risultato possibile.




Dalla cura dei più piccoli al benessere del sonno, ogni trattamento offerto è il risultato di un percorso di studio costante e aggiornato. Scopri le aree di competenza e l'approccio personalizzato che la dott.ssa Colabianchi applica per ogni paziente.






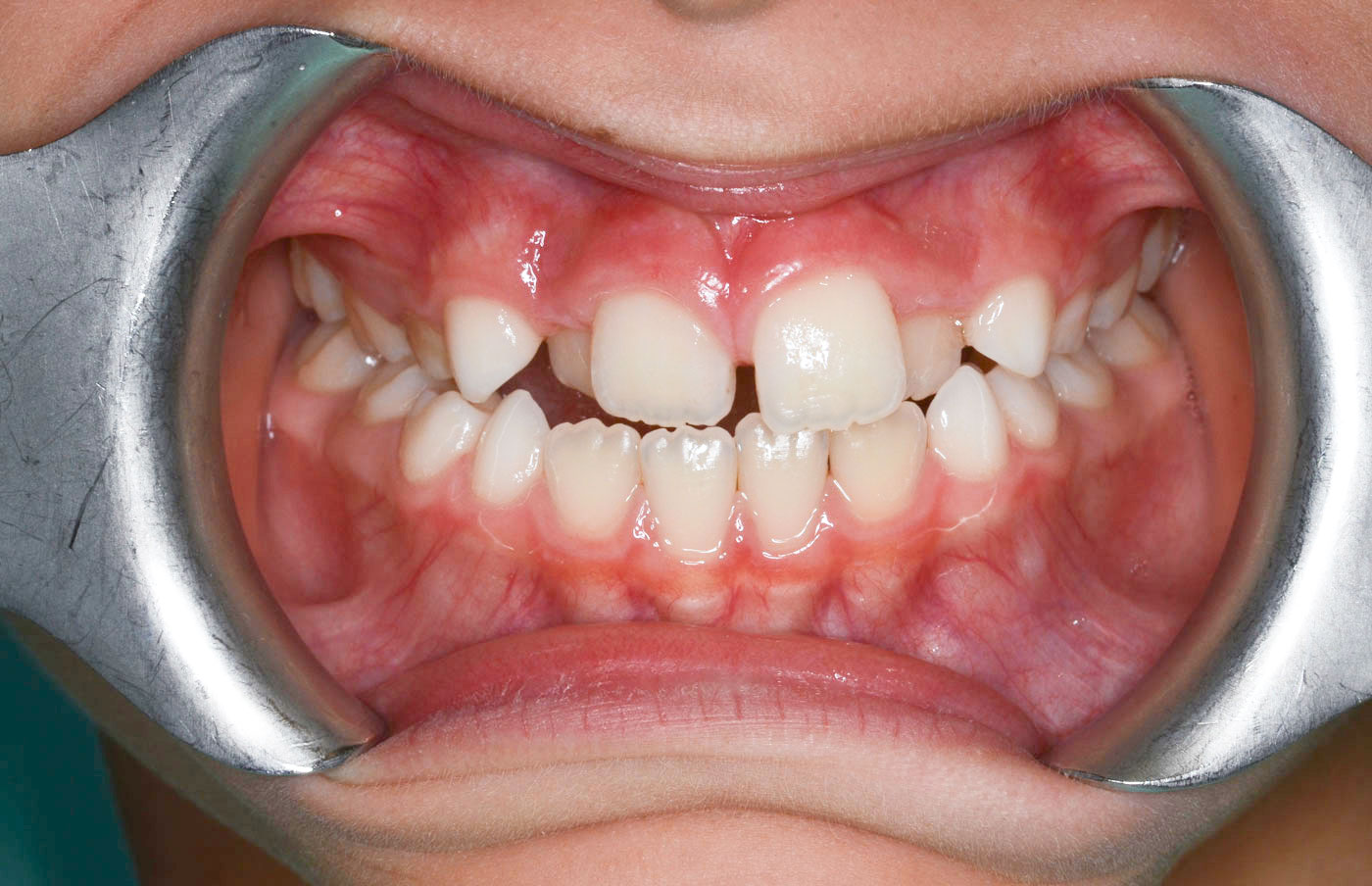
L'ortodonzia intercettiva si prefigge l’obiettivo di intercettare precocemente, ovvero in età pediatrica, malocclusioni e abitudini viziate nel bambino per guidare in modo ottimale lo sviluppo osseo e dentale e prevenire complicanze più gravi in età adulta.
Solitamente si interviene tra i 6 e i 10 anni (talvolta anche a 5 anni se necessario), quando il bambino/a è ancora in dentizione decidua o mista (ovvero quando coesistono sia denti decidui che permanenti).
L’intervento precoce consente di:
L'ortodonzia intercettiva può affrontare diverse malocclusioni quali morso inverso (cross bite), morso aperto o coperto, palato contratto, affollamento dentale e carenza di spazio per l’eruzione dei denti permanenti e correzione della respirazione orale e delle abitudini viziate (succhiamento dito/ciuccio ecc.).
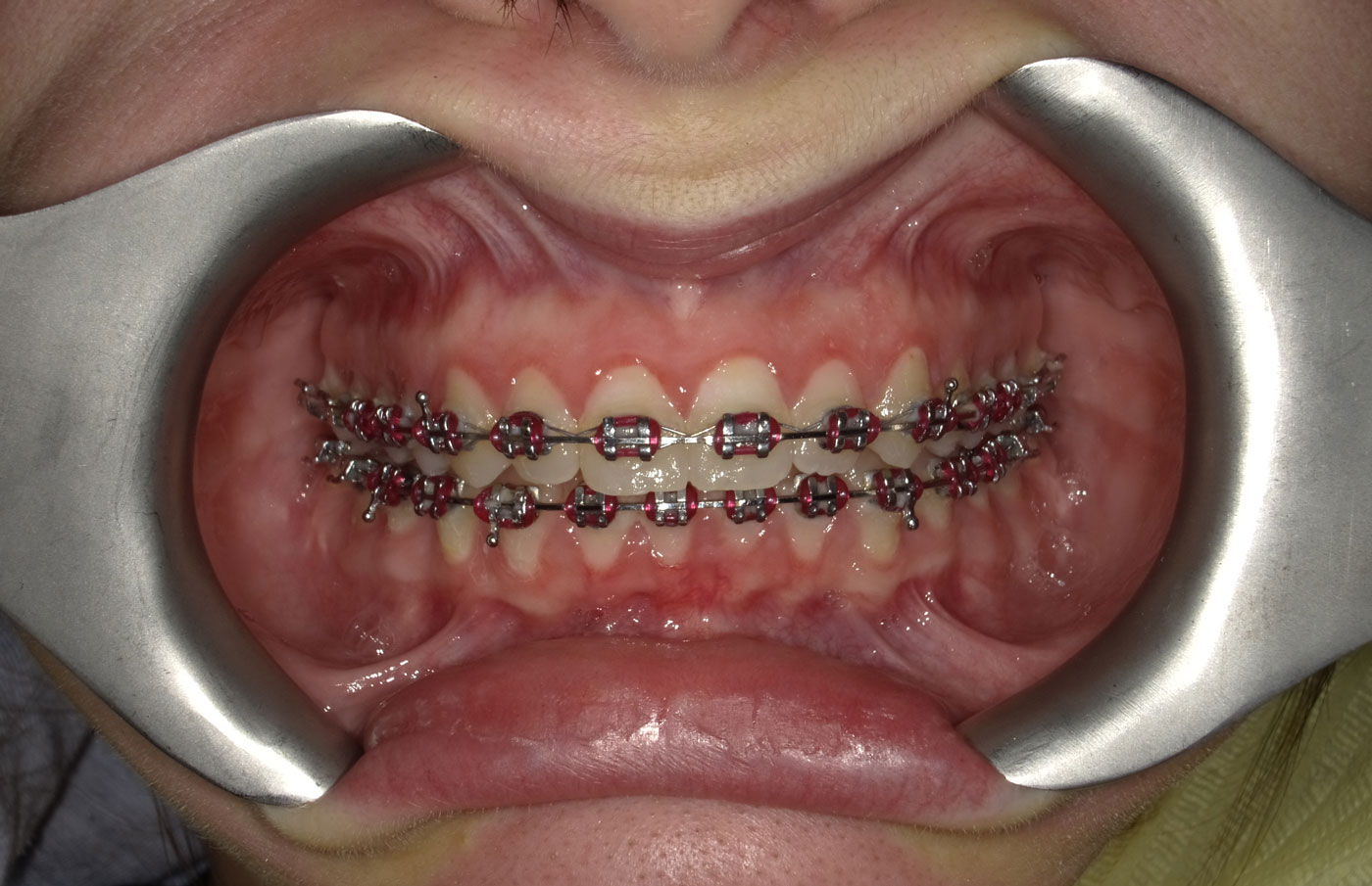
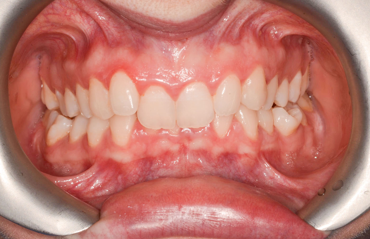
La terapia ortodontica fissa prevede l'applicazione di dispositivi ortodontici (bracket e fili metallici) sui denti al fine di correggere disallineamenti e malocclusioni.
L'apparecchio fisso è composto da brackets (placchette) in metallo o estetici in ceramica incollati ai denti e collegati da fili metallici. Questi ultimi esercitano una pressione costante sui denti, guidandoli verso la posizione corretta.
Il trattamento ha una durata variabile in base alla complessità del caso, da alcuni mesi ad alcuni anni.
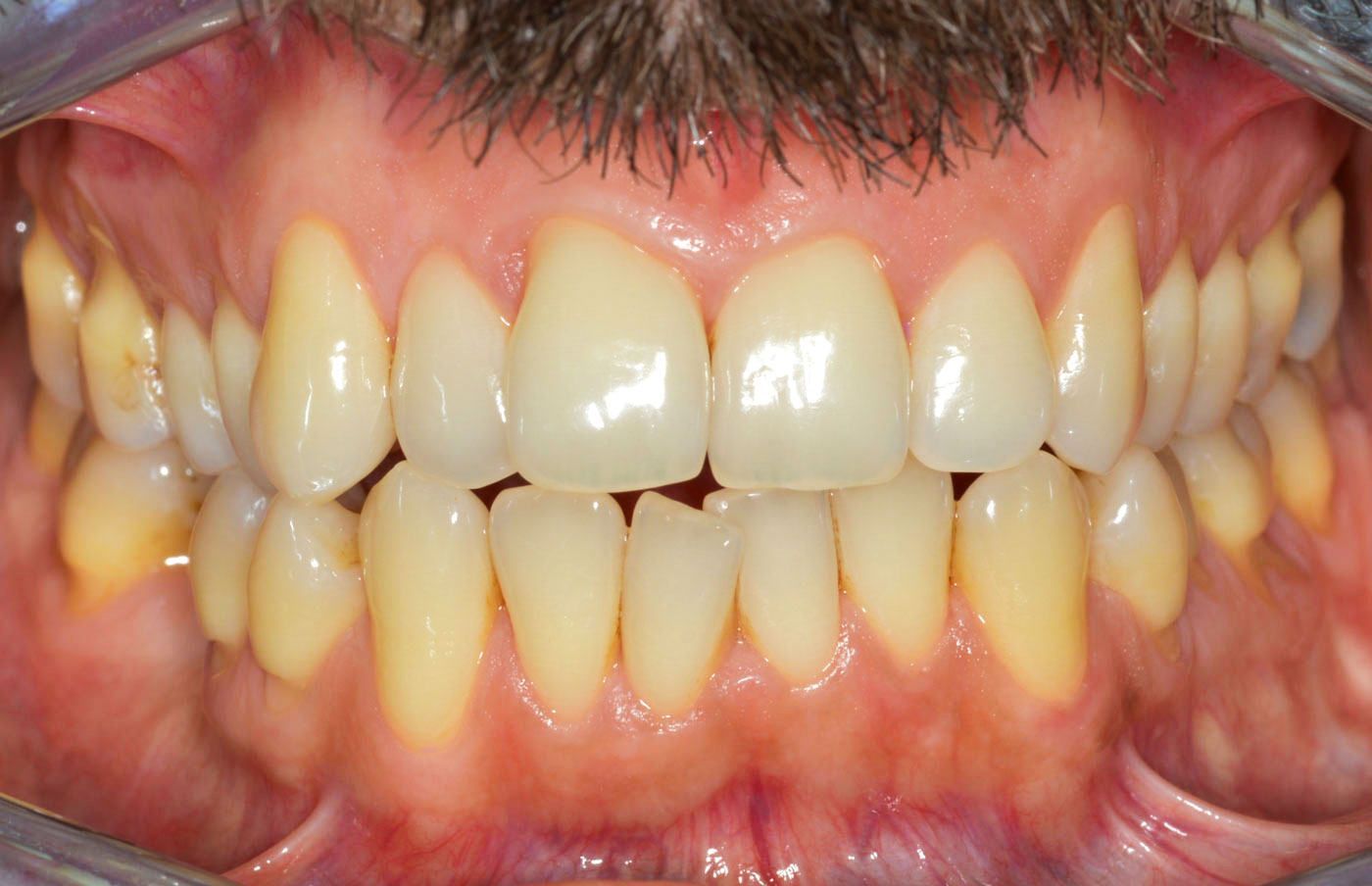
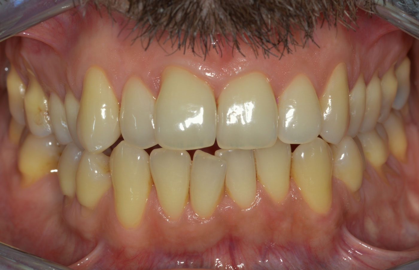
Tramite questo trattamento si può beneficiare sia in termini funzionali, migliorando masticazione, deglutizione, pronuncia e postura, sia i termini estetici, ottenendo un sorriso gradevole ed armonioso.
La terapia ortodontica con allineatori è nata per offrire una soluzione estetica e confortevole per trattare le malocclusioni in alternativa al classico apparecchio fisso. Essa prevede l’utilizzo di una serie di mascherine trasparenti e rimovibili, personalizzate sulla bocca del paziente, per correggere il posizionamento dei denti.
La Pedodonzia o ‘odontoiatria pediatrica’ è la branca dell’odontoiatria che si prefigge l’obiettivo di tutelare la salute orale dei bambini, con interventi di informazione e prevenzione e opportune procedure cliniche.
L’età suggerita è intorno ai 18-24 mesi. Questo primissimo approccio è importante per presentare al bambino l’ambiente dello studio dentistico e consente di eseguire una visita preliminare (spesso in braccio ai genitori) per indagare l’eventuale presenza di fattori di rischio per carie e/o malocclusioni e fornire istruzioni di igiene orale da svolgere a casa.
Quindi, per concludere, la pedodonzia si occupa a 360 gradi della salute dei vostri figli.
La Dental sleep medicine è la branca dell'odontoiatria che si occupa della diagnosi e del trattamento dei disturbi respiratori del sonno, quali il russamento e l'apnea ostruttiva del sonno (OSAS).
In presenza di un disturbo del sonno diagnosticato mediante polisonnografia da un medico competente, l’odontoiatra può proporre il Mandibular Advancement Device (MAD), ovvero un dispositivo simile a un bite da indossare durante il sonno che ‘traziona’ la mandibola in avanti aprendo le vie aeree superiori e migliorando la respirazione. La dental sleep medicine si basa su una collaborazione multidisciplinare che implica un approccio integrato tra dentista, medici specialisti (otorini, pneumologi e neurologi) e il paziente stesso.
La diagnosi di patologia orale si effettua tramite un esame specialistico di mucose orali, lingua e labbra, per intercettare eventuali lesioni, macchie o altre anomalie. Se si riscontrano lesioni che non guariscono entro15 giorni, o se il paziente riporta sintomi come bruciore o secchezza delle bocca data da insufficiente salivazione, è necessario rivolgersi a questo specialista per una diagnosi accurata. Le tecniche diagnostiche includono l'esame clinico, la biopsia delle lesioni sospette per l'analisi al microscopio, e indagini strumentali come ecografie o risonanze magnetiche, in caso di necessità.
La Dottoressa Colabianchi esercita la sua professione presso studi odontoiatrici privati nelle seguenti città. Per fissare un appuntamento e ricevere maggiori informazioni sui trattamenti, non esitare a contattarla.
Odontoiatra Specialista in Ortognatodonzia
P.IVA 03534921203 | Iscritta all’albo di Bergamo 01392 | Tel: 349 664 786 7| Email: valentin.colabianchi@gmail.com
© 2025 - Valentina Colabianchi